Computed tomography machines and solutions

Amazing things happen when innovation expands the standard of care

In today’s clinical practice, increasing workloads and complexities pose a significant challenge to the delivery of high-quality care. With Philips CT, meaningful innovation from the start can help you expand the standard of care in diagnostics, therapy and screening. Do more, more easily, for your patients and your clinical teams.

CT 5300

Philips CT 5300

Intelligence reimagined

Check out the incredible intelligence that’s built into every aspect of this high-performing CT system from start to finish, including AI for new clinical capabilities and workflow advances, as well as Virtual Imaging tools for real-time collaboration, and services for lifetime value.

Deep clinical insights

Deep clinical insights

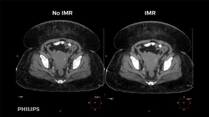
Answer challenging diagnostic questions and significantly impact patient outcomes through the power of spectral-detector CT, which means that every scan for every patient gives you spectral results, allowing you to see more.

Trusted performance and predictable total cost of ownership

Fast and automated departmental workflow

Improve operational efficiency so that clinicians can do their jobs with ease through AI that powers advances such as the ability to reduce patient positioning time by up to 23%.*

CT Option and upgrade

Trusted performance and predictable total cost of ownership

Help reduce the overall cost of care with innovative programs such as Technology Maximizer, which allows for predictable costs while keeping your systems up to date with the latest software and hardware advances from Philips.

Options and upgrades

Expand your CT capabilities and bring state-of-the-art performance to your system.

We are always interested in engaging with you.

Let us know how we can help.

1
Select your area of interest
2
Contact details

[1] *Based on Philips in-house assessment by five clinical experts, comparing manual positioning versus Precise Position in 40 clinical cases using a human body phantom.

You are about to visit a Philips global content page

Continue

You are about to visit a Philips global content page

Continue

Our site can best be viewed with the latest version of Microsoft Edge, Google Chrome or Firefox.

Jūs pateksite į Lietuvos „Philips Healthcare“ svetainę.
Please select the checkbox

Svetainė skirta tik asmenims, naudojantiems medicinos priemones profesinėje veikloje, įskaitant sveikatos priežiūros specialistams, profesinę veiklą vykdantiems asmenims, atstovaujantiems sveikatos priežiūros įstaigą ar medicinos priemonėmis prekiaujančią organizaciją.

Ar esate asmuo, atitinkantis aukščiau nurodytus kriterijus?